Болезнь Гентингтона: симптомы и способы лечения

Молекулярный нейрогенетик Дэвид Рубинштейн о нейродегенеративных заболеваниях, тетрабеназине и склонных к агрегации белках

Сохранить в закладки
Сохранить в закладки

Молекулярный нейрогенетик Дэвид Рубинштейн о нейродегенеративных заболеваниях, тетрабеназине и склонных к агрегации белках

Процесс болезни — нейрон, пораженный тельцами включения
Процесс болезни — нейрон, пораженный тельцами включения
Структура белка гентингтина с присоединенным мальтоза-связывающим белком
Структура белка гентингтина с присоединенным мальтоза-связывающим белком
Джордж Гентингтон (Хантингтон)
Джордж Гентингтон (Хантингтон)
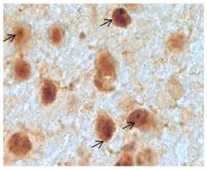
Агрегаты гентингтина в мозге мыши (отмечены стрелками)
Агрегаты гентингтина в мозге мыши (отмечены стрелками)

Над материалом работали